Saltar al contenido
18 abril, 2026
  • Facebook
  • Twitter
  • Linkedin
  • Youtube
  • Instagram
Esencia Digital

Esencia Digital

Informacion las 24/7

Menú principal
  • Locales
  • Cultura
  • Deporte
  • Internacionales
  • Nacionales
  • Radio En Vivo
Botón claro/oscuro
  • Ultimo Momento

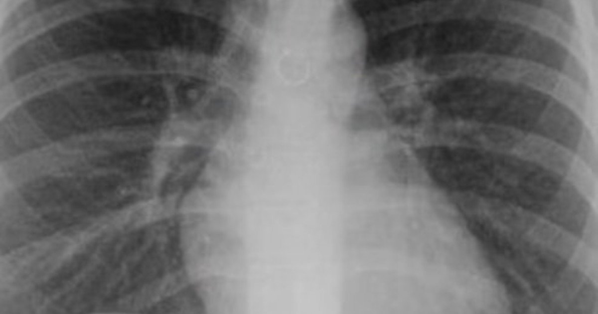
Empezó a toser y un mes después descubrió que tenía un piercing nasal en uno de sus pulmones: «Los médicos estaban impactados»

c2560435 7 April, 2026
  • Una joven reveló una impactante experiencia personal vinculada a un problema de salud.
 
    

Post navigation

Anterior Publicación anterior:

Periodismo, SIDE y espionaje ruso: el Gobierno pelea contra su sombra

Próximo Siguiente publicación:

Uno por uno, los ultimátums de Trump a Irán y las postergaciones: del inicio de la guerra al anuncio de la tregua

  • Locales
  • Cultura
  • Deporte
  • Internacionales
  • Nacionales
  • Radio En Vivo
  • Facebook
  • Twitter
  • Linkedin
  • Youtube
  • Instagram
Copyright © Todos los derechos reservados | BroadNews por AF themes.

WhatsApp